DRA. JARE SANCHEZ
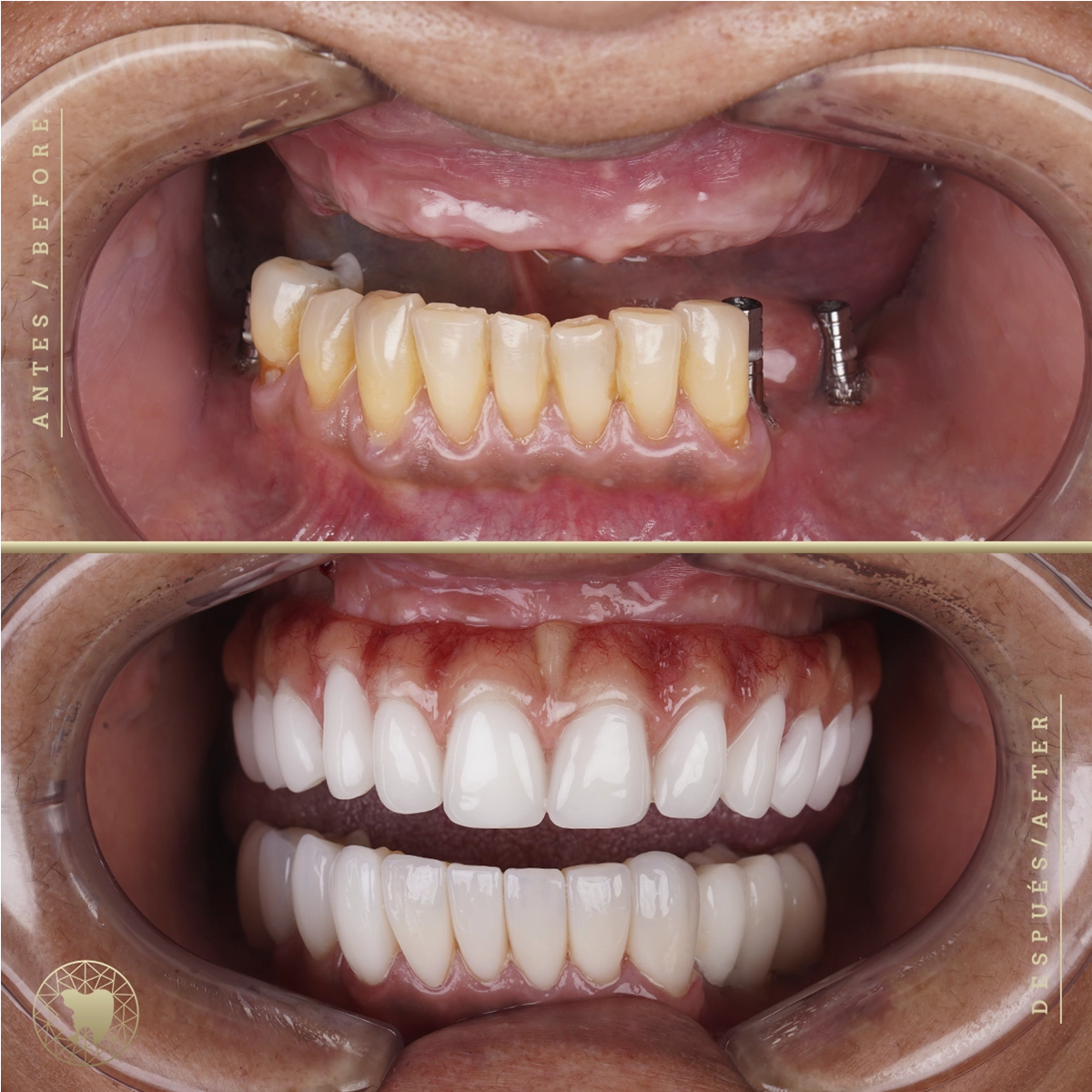
Registro de fotografía odontológica con registro intraoral, sonrisa y retrato. Captando el antes y después del procedimiento clínico y estético.
La fotografía es contenido que cumple múltiples objetivos: registro clínico, contenido para redes sociales y web, contenido optimo para utilizar en las consultas de nuevos pacientes, entre otras más funciones.
Cliente:
Dra. Jare Sanchez
Servicio:
Denti Fotos
Testimonio:
Tengo las mejores fotos de mis pacientes 🙏 eres excelente en tu trabajo










